
폐결절은 건강검진 CT에서 우연히 발견되는 3 cm 미만의 작은 혹을 뜻하며, 다행히 대부분은 양성이지만 일부는 폐암의 초기 징후가 됩니다. CT 도입으로 발견률이 급증한 요즘, 결절의 원인·진단·추적 방법을 정확히 이해해야 불필요한 불안과 과잉 치료를 막고, 필요한 경우에는 조기에 대응할 수 있습니다.
폐결절이란
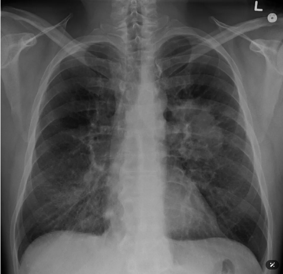
폐결절은 폐 속에 동그랗거나 불규칙한 음영이 잡힌 상태를 가리킵니다. X-선만으로는 찾기 어려웠으나 저선량 CT 보급 덕분에 6 mm 남짓한 미세 결절도 놓치지 않습니다. 크기가 3 cm를 넘으면 ‘폐 종괴’로 분류해 접근이 달라지므로, 3 cm 미만인지가 첫 번째 판단 기준입니다.
다양한 발생 원인
결절은 양성과 악성으로 나뉩니다. 양성은 폐렴·결핵이 낫는 과정에서 석회화된 육아종, 과오종 같은 양성 종양, 자가면역질환에 의한 염증 흔적이 대표적입니다. 이런 결절은 수년간 크기 변화 없이 머무르거나 오히려 줄어들기도 합니다.
반면 악성 결절은 초기 폐암일 가능성을 품고 있어 흡연력·가족력·고령이라면 특히 경계가 필요합니다. 크기가 크거나 가장자리가 뾰족하고 성장 속도가 빠르며 내부 석회화가 없으면 악성을 의심합니다.
크기·모양·성장 속도
발견 즉시 흉부 CT로 위치·모양·밀도를 정밀 확인합니다. 6 mm 미만의 작은 결절은 암 확률이 1 % 미만이므로 6–12 개월 뒤 CT로 변화를 보는 추적 관찰이 원칙입니다. 6 mm에서 2 cm 사이는 환자 위험 인자를 고려해 3–6 개월 주기로 관찰하거나 필요하면 PET-CT·기관지 내시경 조직 검사를 진행합니다. 2 cm 이상이거나 불규칙성·급성장의 징후가 있으면 즉시 조직 검사로 악성 여부를 확인합니다.
추적 관찰과 치료 전략
양성으로 확정된 결절은 정기 CT만으로 관리하며 별도 치료는 드뭅니다. 악성으로 진단되면 수술이 1차 치료이며, 병기와 전신 상태에 따라 항암·방사선·표적·면역 치료를 병행합니다. 초기 폐암은 수술로 완치율이 높으므로 조기 발견이 무엇보다 중요합니다.
생활 관리와 예방
가장 강력한 위험 인자는 흡연입니다. 금연만으로도 새로운 결절 발생과 기존 결절의 악성화를 현저히 낮출 수 있습니다. 미세먼지·석면 같은 유해 물질 노출을 줄이고, 균형 잡힌 식단·규칙적 운동·충분한 수면으로 면역력을 지키면 폐 건강에 도움이 됩니다. 고위험군이라면 국가 폐암 검진의 저선량 CT를 주기적으로 받아 조기 발견 기회를 높이십시오.

